審美歯科
恵比寿駅から徒歩3分。テレビや雑誌などで活躍をしているタレントの方々にも日本の歯科5選にも選ばれている当院の審美歯科治療をお選び頂いております。最先端及び高精度技術による治療が可能です。
- 審美歯科メニュー
- セラミック矯正は担当医によって大きな差の出る診療です。
- 当院の審美歯科治療が選ばれる理由
- 審美歯科のメリット・デメリット
- 審美治療の流れ
- セラミック矯正と矯正治療の違い
- 審美歯科症例集(ビフォーアフター)
- 審美治療例
- 審美歯科の料金
- デンタルローン
- 参考:医療費の控除について
審美歯科メニュー
セラミック矯正は担当医によって大きな差の出る診療です。
また、歯並びだけではなく顔貌(お顔立ち)まで綺麗にすることができる診療です。
当院では、患者様の主訴と、治療にかけられる費用、期間によって、ワイヤー矯正、インビザライン、インビザラインGo、セラミック矯正の中から治療法の特徴などをお話しし、その患者様に最適な治療を提案させて頂いておりますが、もし他院で治療したセラミックの仕上がりが気になる、やり直したいという場合は、まずはお気軽にご相談ください。
セラミック矯正のやり直し症例
・歯の長さが短い
・歯並びが歪んでいる
・表面が平面でカッコ悪い
・歯茎が腫れている
ということを主訴に来院くださった患者様です。
当院では綺麗に歯を削り直し、正確に型を取り直すことで
・前医で入れてから1年以上腫れ続けてた歯茎が1週間で綺麗なピンク色に
治療することができました。
また、「どのような形にしたいのか。どのように並べるのか」を患者様と合意しながら治療を進めることで、
・患者様の希望通りの歯並び、歯の形に
治療することができました。
セラミックの適合が悪いと起きること
- 歯茎が腫れる
- 歯周病の原因になる
- 口臭の原因になる
- 隙間から菌が入って虫歯になる
- 歯ブラシを当てるとすぐ出血する
- セラミックの持ちが短くなる
クリニックを選ぶポイント
- 値段が安過ぎない
- 症例実績が多い
- 説明をしっかりしてくれる
- 保証制度がしっかりしている
- 歯だけではなく、お顔立ちのことも考えた治療ができる
- 扱うセラミックや材料にこだわっている
当院の審美歯科治療が選ばれる理由
満足のできる仕上がりを実現します。
治療後に「当院で治療して本当によかった」と感動していただけるような仕上がりを目指します。
丁寧なカウンセリングを行います
患者様一人ひとりのご希望とご予算に耳を傾け、
一人ひとりのためのオーダーメイド治療計画を立案、ご提案いたします。
残せる神経は出来るだけ残します(低侵襲)
当院は低侵襲治療を心がけています。歯の方向を大きく変える必要のある場合、虫歯によって神経が感染している場合以外は、可能な限り神経を残す治療を行います。
診療回数の最小化
患者様の負担を減らすためにも、出来るだけ早く、少ない回数で診療を完了できるよう心がけております。
あらゆる材料へのこだわり
セラミックはセラミックでも病院によって取り扱うブランドも取引している技工所も異なります。
当院では患者様にご納得いただける治療を行いたい、そして私たち自身も本当にいい治療を行いたいという思いから取り扱うすべてのものを一級品で揃えています。いいものをできるだけ患者様に負担がかからないような値段設定で提供させていただきます。
また、接着の強さはセラミックの強度、細菌の混入の阻止にもかかわるため、接着剤等も各種セラミックに最も適したものを選んでいます。
当院では、細部にまでこだわった自費診療を提供させていただいております。
安心の保証制度
患者様に安心していただけるようなしっかりとした保証制度を設けています。
また、当院の保証制度はメンテナンスにご来院いただくことは必須ではありません。
豊富な症例数
今までに培ってきた実績をもとに、患者様一人ひとりのための治療を行います。
当院の受賞実績や症例実績を上記リンクよりご覧いただけます。
また、当法人理事長のInstagramアカウントでも情報発信中です。
@dr_yuya_sato
審美治療で理事長の診療を希望される場合は、予約の際に「理事長希望」とお伝えください。
審美歯科のメリット・デメリット
審美歯科(セラミック、ジルコニア)のメリット
- 審美的に綺麗
- 汚れが付きにくい
- 自分の歯よりも着色しない
- 保険の材料よりも虫歯や歯周病になりにくい
<参考>保険適用診療で使用される材料
<参考>保険適用診療で使用される材料
全ての銀歯の中に虫歯があるわけではありませんが、以下の理由から虫歯には注意が必要です。
1.銀歯はかけたり割れたりすることは絶対にないが、力がかかると”たわむ”
→ゆえに汚れが隙間に入りやすい
2.接着剤がつきやすいので、取れずらい
→ゆえに汚れもつきやすい
審美歯科(セラミック、ジルコニア)のデメリット
- 保険診療の材料を使うものより費用が高額になる
- 保険診療の材料よりも正確できれいな技術が必要になるため術者の技術が仕上がりに大きく影響する
審美治療の流れ
1、カウンセリング、診断
主訴が何か(どこが1番気になる、どこまで綺麗にしたい)などを聞かせて頂くと同時に現状のお口の中の状況を確認させて頂きます。
2、治療計画の立案
いつまでに治したいなどのご希望や実際にかかってくる金額等のお話しをさせて頂きながらどこまで治すか、またどの順序で治療していくかを決めていきます。
3、治療
上記の1.2.で聞いたご希望と治療計画にのっとって治療します。
4、完成
5、メンテナンス
治療の流れの例
【例1】
前歯をセラミックで色も形も綺麗にしたい
1回目
カウンセリング・診断 + 形成・型取り(仮歯作成セット)
2回目
完成
最短2回で完了します。*歯の向きを大きく変える、本数が多い時には仮歯の型取りをするので回数が1回増えます
【例2】
前歯を6本セラミック治療したい
1回目
カウンセリング診断、仮歯の型取り
2回目
形成、セラミックの型取り、仮歯のセット
3回目
セラミックのセット
6本の治療でも最短で3回で完成します
歯並びも仮歯の段階からきれいになります
この回数で治療できるのは理事長のみです。大型症例で理事長の診療をご希望の場合は予約時に「理事長希望」とお伝えください。
【例3】
今ある見える場所の金属を白いものに変えたい。
また現状新しくできた虫歯も見える場所は白いもので見えない場所は金属で構わないので治したい。
1、カウンセリング、診断
まずどこまでをご本人が見える場所として気にしているか、また具体的にどの金属が気になるかを聞かせて頂きます。
現状の口の中の虫歯、古い金属の中も虫歯が増えていないか等を診断します。
2、治療計画の立案
セラミックの種類や金額、何回かかるかを説明させて頂きどんなペースでどこまで白いものでやっていくかを決めていきます。
3、治療
決まった内容にそって治療していきます。
4、完成
5、メンテナンス
【例4】
歯並びが気になる
1、カウンセリング、診断
どこの歯並びが気になるのか、全体的なのか上の前歯だけとか部分的なものなのかを聞かせて頂きます。
現状の口の中の状況を確認します。
2、治療計画の立案
矯正で治していくのかセラミックで治していくのかを矯正とセラミック治療のメリット、デメリットと費用、治療期間を説明させて頂き、ご本人の気になる部分を治すにはどっちがいいかを相談して決めていきます。
3、治療
4、完成
5、メンテナンス
セラミック矯正と矯正治療の違い
セラミック矯正と矯正治療の違いは以下の通りです。
| セラミック矯正 | 矯正治療 | |
|---|---|---|
| 治療期間 |
最短2回の来院 (1週間~約1カ月) |
全体矯正:1年~3年 部分矯正:3ヶ月~5ヶ月 (+保定期間 矯正にかかった期間の倍) |
| 費用 |
選んだセラミックの費用 x 治療する本数 |
全体矯正:約70万~ 部分矯正:使用するワイヤーによって変動 インビザラインgo 約45万 |
| メリット |
歯の形や色も変えることができる 治療期間が短い セラミックにした歯は一生選んだ色をキープできる ※着色しない |
歯を削らない 全体矯正の場合:不正咬合も治せる |
| デメリット |
歯を削る 歯の向きを大きく変える時は神経をとらなければならないことがある |
治療期間が長い 治療費が高額(全体の場合) 矯正期間中に虫歯歯周病になりやすい 保定期間(動かした歯が後戻りしないように保定装置をつける期間)がある |
歯を削らずに治療することができる歯列矯正ですが、セラミック治療と比較すると長い治療期間、高額な治療費が必要です。
また、歯列矯正時に使用するワイヤーによって虫歯・歯周病にかかってしまうことも多く、結局歯を削ってしまうことも少なくありません。
セラミック矯正による審美性の向上
歯並びを変えることで、口元ばかりではなくお顔立ちもスッキリさせることができます。
(例)出っ歯の方の歯を小さくして内にいれるセラミック矯正をする事で、口元が引っ込んでスッキリする(Eラインが綺麗になる)だけではなく、口が閉じやすくなり閉口筋という口を閉じさせる筋肉が活発になったり軟組織もスッキリしてお顔立ちまで洗練させることができます。
審美歯科症例集(ビフォーアフター)
より多くの症例をこちらのページでご紹介しておりますので、合わせてご覧ください

Case032
広島からの患者様です。
前歯を綺麗にしたい。インプラントをしたい。
という主訴で東京の歯医者をいろいろ調べて当院を選んでくださいました。
毎回、遠い中しっかり通ってくださり、選んで頂けた嬉しさと、その気持ちに応えたいという想いで診療させて頂きました。
前歯はご希望のお色でラミネートベニアでは出せない透明感のあるセラミックに上下左側7はインプラントをさせて頂きました。
左上は破折で温存不可。
骨も少なかったので、サイナスリフトも行い計五回の来院で被せ物を入れさせて頂きました。
左下は前回のクリニックでの埋入位置が深すぎて食べカスも毎回詰まる、セルフメンテナンスではら汚れも取れない。インプラント周囲炎にもなっていたので、一度前のインプラントを除去し、そこから新しくインプラントを埋入し、診療させて頂きました。
インプラント、歯並び、審美歯科にご興味のある方はいつでも相談にお越しください。
担当 理事長 佐藤 悠野
Case031
前歯が虫歯なのと、保険のプラスチックで大きく治療されていて色が悪いこと、歯並びが出っ歯気味であることを気にしてセラミックにしたいという主訴で来院された患者様です。
虫歯が大きかったところは神経治療をきちんと行い、
初診時を含めてトータル4回のご来院で完了です。
今回は前歯を下げる、歯列を整える、白すぎず自然に綺麗に見える色というご希望に沿って治療しました。
ご興味のある方はいつでもご相談ください。
担当 理事長 佐藤 悠野
Case030
過去に受けたプラスチック診療で
・前歯がまだらになっていたり、亀裂が入っている
・交叉咬合という上下で入れ違ってしまっているかみ合わせを治したい
という主訴の患者様の診療です。
ジルコニアセラミックで噛み合わせと審美性を改善しました。
すきっ歯も治り、口元がとても洗練されました。
Case029
セラミック矯正の患者様です。
・上下の歯の入れ違い
・正中の歪みと隙間
を主訴にご来院くださいました。
この患者様は若年性歯周炎にかかってしまったため、一生懸命に歯を磨き、口の中は綺麗なのにも関わらず歯茎が下がってしまい、隙間が出来てしまっています。
これは矯正治療で歯の並び方を変えても絶対に無くなりません。
そのため、患者様の主訴を叶えるためにセラミック矯正で治療計画を練りました。
前のクリニックでは「上下一本ずつ抜糸してブリッジで矯正する」という計画だったようですが、
・患者様が非抜歯を希望されていること
・歯を抜かなくても綺麗に並べられそうだったこと
を理由に、当院では上は抜かずにセラミック。下は形態修正だけで対応しました。
この方針変更だけでもお値段も安く、また侵襲(ダメージ)を少なくすることができました。
治療の結果、最低限の侵襲で、見違えるほど綺麗な口元に治療することができ、患者様もとても喜んでくださいました。
主訴とご希望によって、ワイヤー矯正、マウスピース矯正、セラミック矯正のどの矯正が適しているかは異なります。
当院では上記全ての治療法に対応することができるので、主訴とご希望に沿った方法で治療することが可能です。
カウンセリングにてご希望をお伺いした後、一つ一つの治療の違い、当院のおすすめをご紹介いたしますので、ご希望の治療方法をお選びいただけます。
歯並びなどお口元にお悩みのある方、より綺麗な口元になりたい方はぜひ一度ご相談ください。
【主訴】
・上下で入れ違っている前から2本目の歯のすれ違いを治したい。
・清潔感のある白さで明るい綺麗な口元にしたい
・歯の隙間を無くしたい
【ご要望、ご状況】
・歯を抜かずに治したい
・前医では上下1本ずつ抜歯をして、ブリッジで上3本、下3本の計6本を治すことを提案された。
【今回の治療法】
・右上の犬歯から左の前歯までの計4本をジルコニアセラミックで治療
・色は自分の歯よりやや白いくらいでホワイトニングをしてもしなくても大丈夫なくらいの白さ
・歯は抜かない
・右下の歯は形態修正だけで対応
・歯茎のラインを歯肉整形術で整える
Case028
・すきっ歯を治したい
・前歯を引っ込めたい
・色も綺麗にしたい
・短期間で終わらせたい
ということで、セラミック矯正をお選びいただいた症例です。
【治療回数】 初診のカウンセリング含めて3回
【治療期間】 初診から3週間
Case027
モデルのお仕事をされている患者様の症例です。
・顎が小さい
・右側の前から二番目の歯が生まれつき生えてない
・右側の前から二番目の歯が矮小歯(普通の方より歯がやせ細ってしまう状態)のため隙間が空いている
・歯並びが歪んでいる
という状態を悩んでいらっしゃいました。
・矮小歯は矯正で並び方を整えても矮小歯のまま
・矯正しても左右の歯の本数が揃わない
また、患者様のご要望として、
・短期間で治療を終わらせたい
ということでセラミック矯正で治療することにしました。
【来院回数】
初診のカウンセリング込みで3回。
ジルコニアセラミック8本で治療しました。
もともと綺麗な方でしたが、口元が洗練されたことでさらにお綺麗になられたかと思います。
ご本人もとても喜んでくださりました。
口元にお悩みがある方はぜひご相談ください。
矯正の方が主訴にあってる方には、矯正治療も行なっています。
まずは一度ご相談ください。
Case026
他院ですでに3本セラミック治療を行っている男性の患者様です。
歯並びと色を変えたいということで当院にお越しくださいました。
・透明感のあるセラミックに変更
・前に出ている歯を内側に入れてスマートな印象に
したことにより、とても洗練された口元になったと思います。
この白い色もとてもお似合いの方で、治した私もセット後に思わず「似合いますね」と言ってしまいました。
当院はセラミック矯正だけではなく、マウスピース矯正、ワイヤー矯正と全ての治療メニューを用意しております。
患者様の主訴と悩み、治療費にかけられる費用と期間をお伺いし、ご要望に合う治療方針をご提案、ご相談しながら決めています。
この方の場合は
・既に歯を3本削られている
・前医で入れた大きなセラミックは矯正しても小さくはならない
・色を変えたい
以上の理由でセラミック矯正を選んでおります。
Case025
もともと他院でインビザラインをしていた患者様の症例です。
「インビザラインをしたけど、思ったより前歯が下がらなかった」という理由でご来院くださいました。
「歯を小さくしたい」というご要望をお持ちでしたが、矯正ではもともとの歯の大きさを変えられないため、
当院にて上の前歯4本をジルコニアセラミックで治しました。
前歯を大きく下げることができたので、口元が洗練されたのはもちろんEラインの改善にもなりました。
また、色もホワイトニングのジルコニアセラミックを組み合わせることで、明るく綺麗な口元になりました。
さらに、左下の銀の詰め物を、ダイレクトボンディングで白く治しています。
治療回数 初回カウンセリング込みで3回
治療期間3週間
1回目 カウンセリング+仮歯の型取り
2回目 セラミックの型取り+仮歯のセット
3回目 完成
Case024
噛み合わせから審美的なところまで、トータルで治療させて頂いた患者様です。
ここまでやるとなると、できないクリニックもありますし、できるところでも年単位でかかってしまうクリニックが大半だと思いますが、今回は4月末にカウンセリングでご来院いただき、5月に治療をスタートして9月末には診療が終わっています。
治療回数や、治療期間がかかってしまうと、患者様も通院が辛くなったり疲れてしまったりしてしまうと思います。どんどん綺麗になっていく、食事がしやすくなっていくという実感がある方が患者様に楽しく治療に臨んでいただけると思うので、私は診療のスピード感を大切にしています。
トータルでやらせていただいたので、噛み合わせなどの機能面から外見などの審美性もかなり良くなり、患者様にも満足して頂けてよかったです。
治療期間 約4ヶ月
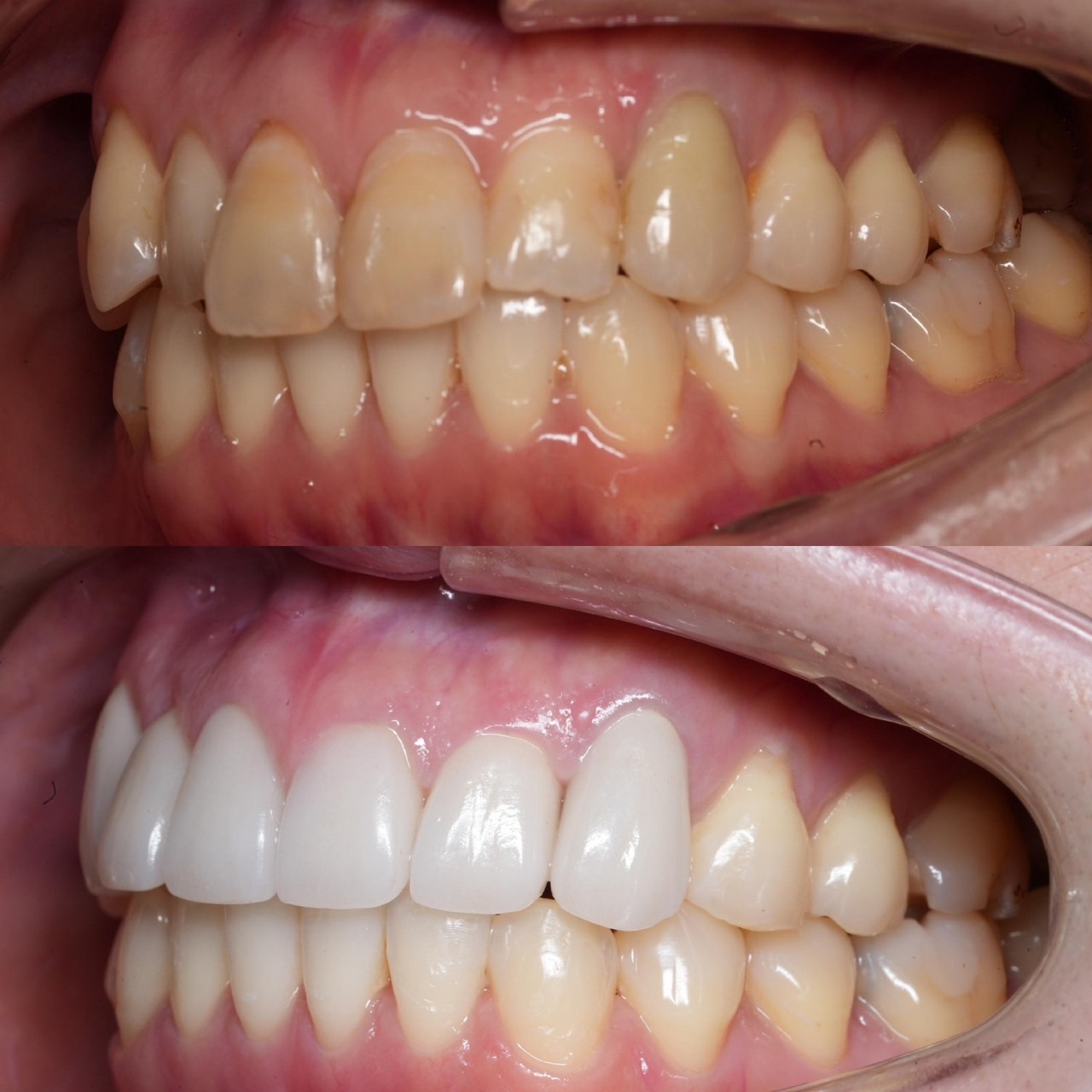
Case023
「歯の長さが短い、歯並びが歪んでる、表面が平面でカッコ悪い、歯茎が腫れている」ということを主訴に来院くださった患者様です。
セラミック矯正は歯科医の技術、センスで仕上がりが全く違うため、審美歯科の中でも担当する歯科医によって最も大きな差の出る診療です。
また、歯並びだけではなく顔貌(お顔立ち)まで綺麗にすることができる診療です。
歯茎の腫れは綺麗に歯を削り直して、正確に型を取り、
精密に作られたセラミックを適合よくセットしてあげることで、前医で入れてから1年以上腫れ続けてた歯茎が1週間で綺麗なピンク色に治りました。
形や並びに関しても、まず歯科医師が「どのような形にするか、どのように並べるか」をイメージしながら綺麗に削ることから始まります。
患者様の主訴通りに綺麗にできて喜んでいただきました。
当院では、患者様の主訴と、治療にかけられる費用、期間によって、ワイヤー矯正、インビザライン、インビザラインGo、セラミック矯正の中から治療法の特徴などをお話しし、その患者様に最適な治療を提案させて頂いております。
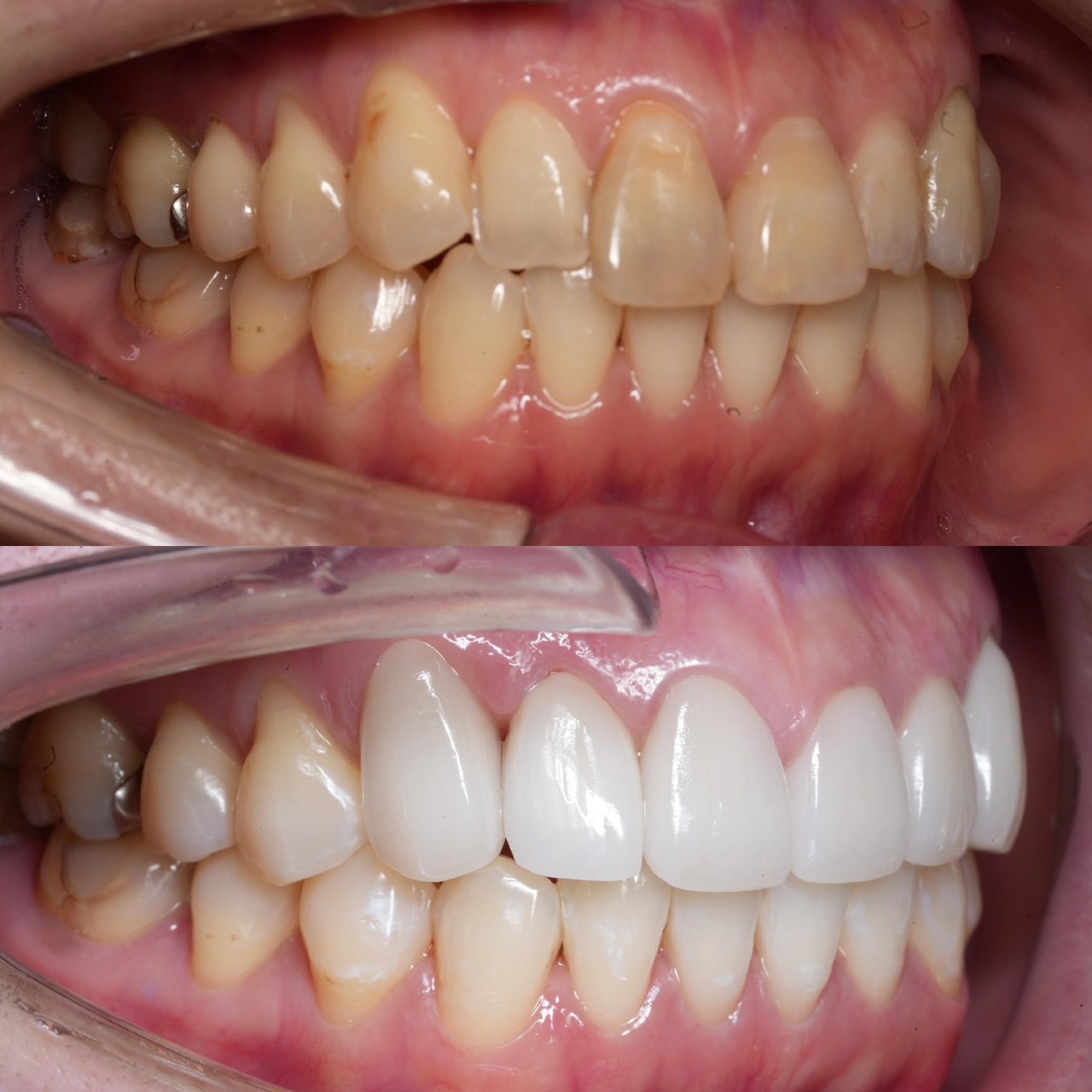
Case022
口腔内を全体的に治療させて頂いた患者様の症例です。
もともと透明感の無い大きなセラミックが入っていた前歯に、透明感がありスマートな形のセラミックを入れました。また、歯茎のラインにも違和感があったため、今回の治療で治しています。
セラミックと歯茎の境目が綺麗になるかどうかは歯科医の腕次第ですが、とても綺麗にできたと思います。
また、インプラントなどで奥歯の噛み合わせも治療いたしました。
前歯の審美性にご満足いただき、以前より食事がしやすくなったとお褒めの言葉を頂きました。
当院では噛み合わせなどの機能面や審美性を考えた上での全体的な治療が可能です。


Case021
ジルコニアセラミック4本のみで歯列を綺麗にした症例です。
出っ歯になっていた前歯を内側に、奥に引っ込んでいた前歯を外に出しました。
歯の神経の位置にも恵まれていたので、神経も全て残存できています。
前歯の歯列が変わることで、かなり外見の印象も変わりました。
治療期間 2週間
治療回数 2回
1回目 歯を削る、型をとる、仮歯を入れる
2回目 ジルコニアセラミックをセット


Case020
ずっと歯を治したかったけれど、時間がなくてできなかった方がようやく時間が取れるようになり、今回はしっかり治したいということで、ご来院頂けました。
初診時は全く噛めないくらい噛み合わせも悪くなってしまっていたのと、骨がないためにインプラントをするにも難しい状態でしたが、外見も爽やかに、食事も気にせず肉でも何でも噛めて、健康的な状態を目指して治療しました。
歯が綺麗になっていくにつれて笑顔も増えて、どんどん若々しくなっていくのを見てると歯科医としての仕事に本当にやりがいを感じました。
担当 理事長 佐藤 悠野
Case019
銀歯の中にできた虫歯の症例です。
「痛くないから今は虫歯がない」と話す方がいらっしゃいますが、それは大きな間違いです。
大人になってからの虫歯は痛みが出ることの方が圧倒的に少なく、口の中の病気は基本的に自覚症状と病気の重さが比例しません。
全ての銀歯の中に虫歯があるわけではありませんが、以下の理由から虫歯には注意が必要です。
1.銀歯はかけたり割れたりすることは絶対にないが、力がかかると”たわむ”
→ゆえに汚れが隙間に入りやすい
2.接着剤がつきやすいので、取れずらい
→ゆえに汚れもつきやすい
この症例のように、自覚症状が無くても銀歯を外してみたら大きな虫歯があるというケースも少なくありません。
しっかり検査、診断してくれるクリニックに定期的に行くことをおすすめいたします。
Case018
お医者様の患者様です。
左上の奥歯を「抜くしかない」という診断は受けているため、インプラントをやりたいけど、骨がなく難しい症例であるため、サイナスリフトが上手なところで治療を受けたいという主訴で当院にお越しくださいました。
インプラントが終わった後、前歯の表面が削れていて染みるという点、角度が出ていて、ほうれい線も出やすいという点も気にされていたので、セラミック矯正で前歯の歯並びを治しました。その結果、ほうれん線もかなり目立たなくなりました。もちろん歯の見栄えもよくなりました。
引き続き、左下のインプラント治療も継続させていただきます。
また、上の奥歯の抜歯をして、インプラントにしたところ、蓄膿も治ったそうです。
歯のせいで蓄膿が起きることもよくありますので、歯科医への受診もおすすめします。
担当 理事長 佐藤悠野
Case017
歯が欠けてしまったことと、出っ歯を主訴に福岡県から来院してくれた患者様です。
内側に綺麗に入れたことで、口が締まりやすくなり、口元がスッキリしました。
当院には全国からインスタグラムや雑誌、ネットを調べてくれた患者様がご来院くださっております。
はるばる遠方から来てくださる患者様に「ここまで来てよかった」と満足してもらえる診療を行えるよう、今後も精進していきます。
歯の色は自然な色から白いものまで選べます。
来院回数
カウンセリング込みで3回
治療期間 3週間
Case016
前歯の審美歯科から、奥歯の虫歯診療、歯がないところのインプラント治療まで口腔内を全体的に当院で治療させて頂いた患者様です。
外見もとても綺麗になり、奥歯でも物を噛めるようになってとても喜んで頂けました。


担当 理事長 佐藤悠野
Case015
前医の被せ物のやりかえを希望された患者様の症例です。
色と形が悪く、汚く見えてしまうという主訴でご来院。
「可能な限り費用を抑えながら、口元が綺麗に明るく見えるようにしたい」というご希望だったので、通常は左右対称の本数で治すことが多いのですが、今回は左上の1番目から右側の4番目までの5本の治療としました。
その場合、一番気をつけなければならないのは色の選択です。
色を左の歯よりも明るくしすぎてしまうと、左右非対称に見えてしまうため、明るくしすぎることはできないし、せっかく治療をするのに綺麗に見えない色を選択するのももったいないです。
同じ白色でも「透明感のある白」と「マットな白」では色の浮き方が全く違います。
当院では、白さを追求しながらも透明感のある高品質なセラミックを使用しているため、自分の歯より白いものを使用しても、色が浮かずに全体的に明るく見えるようになっていると思います。


治療回数3回(初回カウンセリング含む)
担当 理事長 佐藤悠野
Case014
「開咬」の方の審美治療です。
「開咬」とは文字通り、しっかり噛んでも前歯が咬み合わず、隙間ができてしまう咬みあわせのことをいいます。
この状態だと、上の歯が出ていなくても、出ているように見えてしまったり、いつでも口が開いているように見えるため、口元の洗練さが落ちてしまいます。

今回はセラミック矯正で治療させて頂きました。
笑顔の時に口が開いているように見えてしまっていましたが、洗練された笑顔になりました。

担当 理事長 佐藤悠野
Case013
お医者様の患者様です。
「上下額前突、歯の傾斜が出ていて口元が出てしまっている」ことが主訴の患者様の症例です。
歯の大きさも気にされており、小さくしながら色も綺麗にしたいということでセラミック矯正をご提案しました。
治療の結果、口元が下がることで閉口筋が活発になり、お顔の印象も変わりました。
【治療回数】
3回(初診カウンセリング含む)
【治療期間】
3週間




担当 理事長 佐藤悠野
Case012
前医で根切という外科的な根の治療を受けていましたが、それがうまくいっていなく、また膿んでしまっている方の再治療をおこないむした。根切のやり直しは非常に難しいのですが、膿んで溶けてしまっていた骨の再生も確認できて経過は良好です。
またセラミックも新しく綺麗にして、歯茎の黒ずみも消失しています。
治療回数
3回(写真カウンセリングを含む)
担当:理事長 佐藤悠野
Case011
お医者様の患者様です。
左上の奥歯は抜くしかないという診断を受けており、「インプラントをやりたいけど、骨が無いために難しい症例であるため、サイナスリフトが上手なところで治療を受けたい」という主訴で当院に来ていただけました。
インプラントが終わった後、「前歯の表面が削れていて染みる」ということと、「角度が出ていて、ほうれい線が出やすい」ということを気にされていたので、セラミック矯正で出っ歯を治療しました。
治療から三ヶ月経ちますが、ほうれん線もかなり目立たなくなりました。もちろん歯の見栄えもよくなりました。
また最初の主訴の上の奥歯の抜歯をして、インプラントにしたら蓄膿も治ったそうです。
歯が原因で蓄膿が起きることもよくありますので、歯科医への受診もおすすめいたします。




担当 理事長 佐藤悠野
Case010
欠損部のインプラントと審美歯科を両方させて頂いた患者様です。
とても喜んで頂けました。
自然な噛み合わせと、審美性の両方を追求した症例です。
担当:理事長 佐藤悠野
Case009
前医でマウスピース矯正をしたものの、うまくいかなくて当院にお越しくださった患者様です。
もう時間をかけたくないとの主訴だったので、マウスピース矯正ではなくセラミック矯正で治しました。
クリーニング+セラミック矯正+ホワイトニング
来院回数 3回(初回のカウンセリング含む)
初診時よりとても綺麗になって満足して頂きました。
担当:理事長 佐藤悠野
Case008
前医でマウスピース矯正を試してみたものの上手くいかず、当院にお越しくださった患者様です。
もう時間をかけたくないとの主訴だったので、マウスピース矯正ではなくセラミック矯正で治療しました。
初診時よりとても綺麗になり、満足して頂けました。
クリーニング+セラミック矯正+ホワイトニング
来院回数 3回(初回のカウンセリング含む)
担当:理事長 佐藤悠野
かぶせもの:セラミック
治療費:687,500円(エアフロー+セラミック矯正+ホワイトニング)
審美歯科のメリット・デメリット(リスク)などの詳細はこちら
料金はこちら
Case007
他院でやったもののやり直し症例です。縦のラインが歪んでいたものをまっすぐに治して、歯が少し出っ歯になって長くなってしまっていたものを中に入れて、歯の長さも短くしてよりスマートで洗練された口元にしました。患者様にも喜んで頂けました。
また被せ物と歯の境目も前のものは浮いてしまっていて、汚れも入りやすいし、外見も汚く見えてしまうのを治して綺麗にしました。
歯並びの縦の歪み → まっすぐ綺麗に
出っ歯で長い歯 → 中に入れて短くスマートに
歯の境目が浮いている → 歯茎の中に境目を設定してより自然に
担当:理事長 佐藤悠野
かぶせもの:ジルコニアセラミック
治療費:2,640,000円〜3,520,000円
[メリット]
自分の好きな色、歯の形を選べる
自分の歯よりも着色や汚れがつきにくくなる
[デメリット]
高額である
削ることで一時的に歯がしみたり痛みが出る可能性がある
術者のレベルによって仕上がりに差が出る
審美歯科のメリット・デメリット(リスク)などの詳細はこちら
料金はこちら
Case006
審美歯科の症例です。
【患者様の主訴】
・歯を小さくしながら、出っ歯を治したい。
・歯の色も白く、形も綺麗にしたい。
【治療方法・期間】
・ジルコニアセラミックによる審美歯科
・来院回数 3回
・治療期間 20日
・治療費:1,920,000円〜2,560,000円
患者様にはとても喜んで頂けて、歯科医として仕事をしてる私にとっても嬉しかったです。
担当:理事長 佐藤悠野
かぶせもの:ジルコニアセラミック
[メリット]
自分の好きな色、歯の形を選べる
自分の歯よりも着色や汚れがつきにくくなる
[デメリット]
高額である
削ることで一時的に歯がしみたり痛みが出る可能性がある
術者のレベルによって仕上がりに差が出る
Before写真の上顎中央にあるような、大きく向きを変えなければならない歯がある場合、歯の神経を取る必要がある場合がある
審美歯科のメリット・デメリット(リスク)などの詳細はこちら
料金はこちら
Case005
歯と歯の隙間が空いている状態をセラミック矯正で治療した症例です。
担当:理事長 佐藤悠野
かぶせもの:ジルコニアセラミック
治療費:2,400,000円〜3,200,000円
[メリット]
自分の好きな色、歯の形を選べる
自分の歯よりも着色や汚れがつきにくくなる
[デメリット]
高額である
削ることで一時的に歯がしみたり痛みが出る可能性がある
術者のレベルによって仕上がりに差が出る
審美歯科のメリット・デメリット(リスク)などの詳細はこちら
料金はこちら
Case004
セラミック矯正を患者様の好きな白さのセラミックで行い、歯並びと色を綺麗にしました。歯茎のラインも自然にできています。
最近選ばれることが多いかなり白いのに透明感がある色です。
担当:理事長 佐藤悠野
かぶせもの:ジルコニアセラミック
治療費:1,680,000円〜2,240,000円
[メリット]
自分の好きな色、歯の形を選べる
自分の歯よりも着色や汚れがつきにくくなる
[デメリット]
高額である
削ることで一時的に歯がしみたり痛みが出る可能性がある
術者のレベルによって仕上がりに差が出る
審美歯科のメリット・デメリット(リスク)などの詳細はこちら
料金はこちら
Case003
「昔から歯並びが気になっているので治したいが、もうすぐ海外に行くので時間がない」
「可能な限り安く、できるだけ自分の歯は削らないで綺麗に見えるようにして欲しい」
という患者様の症例です。

【治療内容】
上4本下4本 オールセラミッククラウン
【治療期間】
1ヶ月
【治療費】
840,000円
担当:理事長 佐藤悠野
[メリット]
自分の好きな色、歯の形を選べる
自分の歯よりも着色や汚れがつきにくくなる
[デメリット]
高額である
削ることで一時的に歯がしみたり痛みが出る可能性がある
術者のレベルによって仕上がりに差が出る
Before写真にある下顎の最も前に出ている前歯を矯正なしで治療するために、神経をとる必要があった
審美治療例
貴方に最も適した治療をご提案します。
ご検討ください。
| 治療前 | 治療後 |
|---|---|
![]() 治療した歯だけ違って見えませんか? |
![]() 自然な歯と調和した治療が理想です |
![]() 金属の治療は審美的ではありません。 大きな口を開けて笑うことも気になります。 金属アレルギーの心配もあります |
![]() 金属を使わない治療では 金属による審美障害、 アレルギーの心配が少なくなります。 |
![]() 金属の色が気になりませんか? |
![]() 自然な歯と調和した治療が理想です |
審美歯科の料金
かぶせもの(全部タイプ)
| オールセラミック | ¥120,000 | 3年保証 |
|---|---|---|
| メタルボンド | ¥90,000 | 3年保証 |
| オールジルコニア | ¥120,000 | 5年保証 |
| オールジルコニアプレミアム | ¥130,000 | 5年保証 |
| ジルコニアセラミック | ¥160,000 | 5年保証 |
| 土台 | ファイバーコア¥30,000 直接法¥25,000 |
3年保証 |
かぶせもの(一部タイプ)
| ハイブリッドセラミックインレー | ¥43,000 | 3年保証 |
|---|---|---|
| オールセラミックインレー | ¥60,000 | 3年保証 |
| ゴールドインレー | ¥67,000〜80,000(使用する金のグラム数による) | 3年保証 |
自費CR
| 自費CR(ダイレクトボンディング) | 1歯23,000円 | – |
|---|
デンタルローン
さとうデンタルクリニックでは、より多くの患者様に安心して治療を受けていただけるよう、デンタルローンの取り扱いを開始いたしました。
インプラント、矯正、審美治療などの保険外診療における治療費全般に対応しておりますので、お気軽にご相談ください。
デンタルローンの特長
金利4.9%
業界内トップの低金利(2021年8月現在、業者調べ)でご利用いただけます。
最大84回まで設定可能
ご利用回数は2回〜84回までご設定いただけます。
自分のスマホやPCで登録可能
ご自身のスマホやPCをご利用いただき、当院からお送りするメールから登録いただくことが可能です。
頭金なしで利用可能
頭金なしでもご利用可能です。
繰り上げ返済可能
残りの支払い金額をまとめて繰り上げ返済することも可能です。
ご利用イメージ

インプラント治療にさとうデンタルクリニックのデンタルローンを利用
| ローン対象額 | 486,000円 |
|---|---|
| 初回お支払い額 | 22,974円 |
| 2回目以降お支払い額 | 21,100円 |
審美歯科診療など上記以外の治療費にも適応可能です。
まずはお気軽にご相談くださいませ。
参考:医療費の控除について
医療費控除とは、自分自身や家族のために支払った医療費の合計額が一定の金額を超える場合、その超える部分について控除を受けることができる制度のことです。
【医療費控除の対象となる費用(審美治療を除く)】
- 自分自身と生計を一にする家族のために支払った医療費
- その年の1月1日から12月31日までに実際に支払った医療費
- 治療にかかった費用と、診療や治療のための電車代・バス代 等
医療費控除の対象となる金額は、次の式で計算した金額です。(注 最高で200万円)
(実際に支払った医療費の合計額 – 保険金などで補填される金額)- 10万円(※)
※所得金額が200万円未満の人は、10万円ではなく、所得金額の5%を差し引きます。
【控除を受けるための手続き】
お住まいの所轄の税務署に持参し所定の申告用紙に記入します。
その際、医療費の支出を証明する書類、例えば領収書などについては確定申告書に添付するか、提示することが必要です。
また、給与所得のある人は、このほかに給与所得の源泉徴収票(原本)も付けてください。
確定申告は2月16日から3月15日迄です。詳しくは国税庁のHP「タックスアンサー」などでご確認ください。






























































































































